


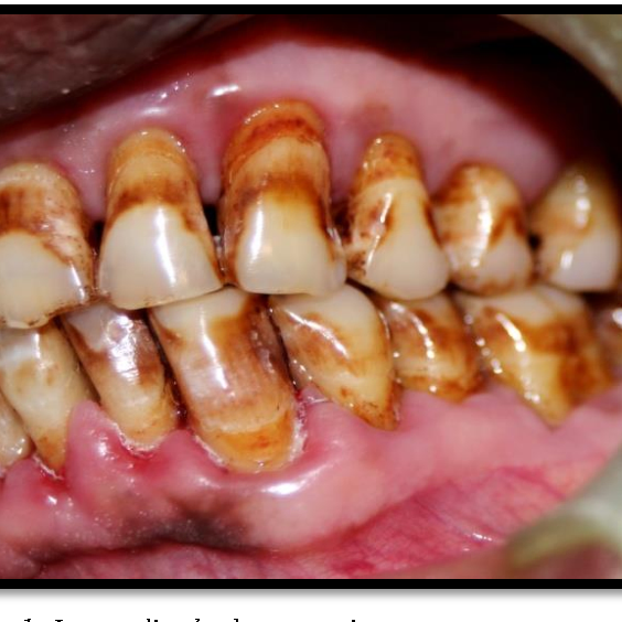
Causes of teeth stains
- Smoking and chewing tobacco not only increases your chances of gum disease, it can also cause your teeth to turn yellow.
- Diet, bright and dark-colored foods such as wine, coffee, tea, as well as certain fruits and vegetables (e.g. beets, tomatoes, blueberries, raspberries) can stain teeth.
- Poor oral hygiene, failing to brush and floss on the daily basis or not brushing thoroughly enough is a major contributor to tooth discoloration.
- Disease, diseases can impact your tooth color, such as liver disease, calcium deficiency, eating disorders, and celiac disease.
- Medication, certain medicines, like antibiotics tetracycline and doxycycline, antihistamines, high blood pressure medication, and antipsychotic drugs, cause tooth discoloration.
- Aging, as you age, your tooth enamel becomes thinner, revealing the dentin underneath that also yellows with age.
Other causes of tooth discoloration could also include genetics, trauma, fluorosis (too much fluoride), and previous dental work.
Teeth stains occur on the surface of the tooth or below the tooth enamel and some people develop both types of teeth stains.
Types of stains
Extrinsic Teeth Stains:
An extrinsic tooth stain is staining on the surface of the tooth. It occurs when stain particles, such as pigmented residue from food or drink, build-up in the film of protein that covers the tooth enamel
Intrinsic teeth stains:
An intrinsic tooth stain is staining below the surface of the tooth. It occurs when stain-causing particles work through the exterior of the tooth and accumulate within the tooth enamel.
Age-Related Teeth Stains:
Age-related teeth stains combine the results of both intrinsic and extrinsic tooth discoloration. Because the core tissue of your teeth, the dentin, naturally yellows over time, teeth discolor with age. As we age, the enamel that covers the tooth becomes thinner, allowing the dentin to show through
Preventive measures include;
- Drinking water frequently, especially after meals. This helps displace food particles that cause discoloration.
- Using a straw to drink bright or dark-colored beverages to minimize contact with your teeth.
- Following a healthy diet with green, leafy vegetables, nuts, cheeses, yogurts, and foods rich in fiber, can strengthen enamel and prevent tooth discoloration.
- Following a good dental hygiene routine (i.e. brushing twice a day for two minutes at a time and flossing once a day).
- Getting a dental cleaning every 6 months.
Management of stained teeth
Fortunately, there are many treatment options for teeth stains. Keep your teeth healthy and looking great by maintaining a consistent oral health routine including twice-daily toothbrushing and daily flossing, twice-yearly visits to your dentist, and by limiting your consumption of teeth-staining beverages. Regular whitening maintenance will help keep them looking whiter and brighter.
References
Vogel R. Intrinsic and extrinsic discolouration of the dentition: A review. Journal of Oral Medicine 1975;30:99-104
Joiner A. Tooth colour: a review of the literature. Journal of Dentistry 2004;323-12